The Future of Interventional Radiology starts here.
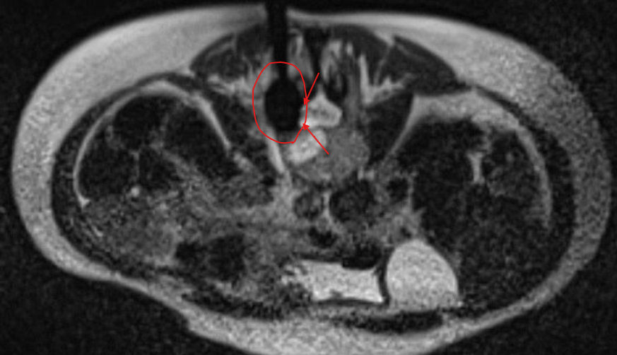
MRI Guided Cryoablation
Unlocking the power of ICE with the precision of MRI
Trans-Arterial Micro-Embolisation (TAME)
Learn more about this cutting edge new treatment here for chronic musculoskeletal pain
Pioneering Medical Innovation
-
Interventional Radiology (IR) represents the cutting edge of modern medicine—a specialised field where expert physicians use advanced imaging technology to guide minimally invasive procedures that diagnose and treat a wide range of conditions.
Unlike traditional surgery, IR procedures require only tiny incisions, through which our specialists navigate catheters, needles, and other precision instruments with extraordinary accuracy.
This approach significantly reduces risk, pain, and recovery time for patients while achieving remarkable clinical outcomes.
By combining detailed medical imaging (including ultrasound, CT, MRI and fluoroscopy) with innovative techniques, interventional radiologists can deliver targeted treatments directly where they're needed—whether dissolving blood clots, shrinking tumours, relieving pain, or restoring blood flow.
At Spectrum Interventional Radiology, we're proud to offer these future-focused treatments today, providing patients with advanced alternatives to conventional surgery across numerous medical specialties.
-
What sets our approach apart is our mastery of advanced imaging guidance technologies. We utilise a comprehensive suite of visualisation tools including:
Ultrasound (US) for real-time guidance during procedures
Computed Tomography (CT) for detailed cross-sectional imaging with precision needle placement
Fluoroscopy and Angiography for dynamic vascular visualisation
MRI Guidance - our newest frontier for unparalleled soft tissue targeting and radiation-free interventions
These technologies allow us to navigate through the body with extraordinary precision, accessing treatment areas through incisions smaller than a coffee bean.
-
Our procedures typically require:
Smaller incisions than conventional surgery
Reduced recovery times
Minimal hospital stays, often same-day discharge
Lower risk of complications
Less pain and discomfort
This approach means our patients can return to their daily lives faster, with excellent outcomes and significantly reduced trauma to surrounding tissues.
-
Our team's foundation was built within Australia's leading tertiary hospitals, where we developed expertise handling the most complex and challenging cases. This background has equipped us with unique capabilities to address conditions that might otherwise require extensive surgical intervention.
-
We continuously explore and implement emerging techniques and technologies. Our commitment to innovation drives us to refine existing procedures and develop new applications that expand the boundaries of what's possible in minimally invasive care. From complex vascular interventions to targeted cancer treatments, pain management to men's and women's health solutions, our expertise spans the full spectrum of interventional possibilities. Every procedure reflects our dedication to excellence and patient-centered care.
Explore Our Areas of Expertise
-

Men's Health
We offer specialised interventional treatments for conditions specific to men including symptomatic varicoceles and benign prostatic hyperplasia (BPH). We specialise in providing minimally invasive alternatives that preserve quality of life while effectively treating the underlying condition.
-

Women's Health
Our women's health team specialises in interventional procedures that address female-specific conditions with less discomfort and downtime than traditional surgical approaches. Conditions we specialise in include uterine fibroids and adenomyosis, pelvic congestion syndrome, and abdominal wall endometriomas. We can also perform fallopian tube recanalisation and deep implanon removal.
-

Pain Management
Our pain specialists deliver targeted treatments for chronic and acute pain conditions, including our pioneering cryoneurolysis and trans-arterial musculoskeletal embolisation (TAME) procedures. We also perform all basic steroid injections, nerve blocks, PRP injections and RFA. Using image-guided precision, we can address pain at its source without the need for major surgery.
-

Interventional Oncology
Our cancer care team provides targeted treatments including portacath insertion and troubleshooting, cryoablation, TACE, SIRT, and complex biopsy and drainage procedures—delivering cancer therapies directly to tumours while minimising impact on healthy tissue.
-

Vein Care
From cosmetic concerns to serious venous disease, our vein specialists employ the latest techniques to restore proper circulation and alleviate symptoms through minimally invasive procedures.
-

Haemorrhoid Embolisation
Our team is at the forefront of advanced endovascular treatment for haemorrhoids. Learn more about a new minimally invasive and painless way of treating bleeding haemorrhoids.
-

Advanced Vascular Imaging
Our centre leverages next-generation imaging technology including high-resolution CT angiography, 4D time-resolved CT, MR angiography, MR neurography providing unprecedented visualisation for the most complex cases.