Advanced Interventional Solutions for Acute and Chronic Pain
Meet our clinical leads in Spectrum IR Pain
-
Dr Xiang is an interventional radiologist based at Liverpool Hospital, Concord Hospital, Sydney Southwest Private Hospital and Spectrum.
He is the clinical lead for pain interventions at the Spectrum Interventional Radiology and chairs the cancer pain multidisciplinary meeting at Liverpool Hospital.
Dr Xiang completed radiology training at Concord Hospital in 2019 before completing an interventional radiology fellowship at the University of British Columbia in Canada in 2020. He has also completed the European Board of Interventional Radiology (EBIR) scoring a distinction which is awarded to the top two candidates worldwide. He has also published over 100 papers in the field of radiology.
Dr Xiang specialises in advanced nerve blocks and ablations, treating pain of the spine, shoulders, hips, knees, abdomen and pelvis. He is skilled in ultrasound and CT guided needle placement. He performs nerve blocks, RFA, neuromodulation, phenol and ethanol ablation, cryoneurolysis, cryoablation, vertebroplasty and embolisation. His primary area of interest is in neuromodulation (pulsed RFA) and cryoneurolysis to treat shoulder and knee pain.
-
Dr Annabattula is an interventional radiologist based at Liverpool Hospital, Nepean Hospital, Sydney Southwest Private Hospital and Spectrum.
He is the clinical co-lead for pain interventions at the Spectrum Interventional Radiology and co-chairs the cancer pain multidisciplinary meeting at Liverpool Hospital.
Dr Annabattula completed radiology training at Nepean Hospital in 2018 before completing an interventional radiology fellowship at Liverpool Hospital in 2019. He has also completed the European Board of Interventional Radiology (EBIR).
Dr Annabattula specialises in advanced pain procedures and is an expert in PRP, having set up the program at Spectrum. He is also an expert in lower limb cryoablation treating conditions including Morton's neuroma, and stump neuroma causing phantom limb pain. In addition he also performs all advanced nerve blocks and ablations throughout the body as well as vertebroplasty and embolisation.
Conditions We Treat
-
Radicular pain is caused by compression of a nerve root as it exits the spine. This is most commonly caused by a bulging disc, but can also be seen in scoliosis, facet joint arthritis and synovial cysts. Symptoms include burning shooting pain, often travelling down the legs.
The backbone of treatment is a nerve root block and if pain is ongoing, pulsed RFA (neuromodulation), a motor sparing technique can also be used. When pain is severe cryoneurolysis can also be considered although with some risk of motor loss. This powerful technique is reserved for the most difficult of cases.
-
The facet joints are paired synovial joints between adjacent vertebral bodies. These can develop osteoarthritis much like other joints in the body.
This is typically felt as localised pain and stiffness, worse in the morning, and often improves during the day.
This can be treated with a facet joint injection initially, proceeding to a medial branch block, and medial branch RFA for long lasting pain relief.
-
Crush fractures are typically caused by osteoporosis but can also be seen in trauma and cancer.
Imaging shows loss of height of a vertebral body, with corresponding signal change on MRI and a hotspot on bone scan.
Vertebroplasty is the treatment of choice, especially in the first 3 weeks post fracture.
-
Shoulder pain can be complex with many structures that can generate pain. This includes the bursa, the joint, the rotator cuff tendons and labrum.
Interventions here include bursal injections, joint injections, suprascapular nerve block and suprascapular nerve neurolysis with either RFA or cryoneurolysis.
Embolisation for shoulder pain is also a promising emerging treatment aiming to stop inflammation at its source.
-
Knee osteoarthritis is a common and debilitating condition affecting millions of Australians.
Interventional treatment options include knee joint steroid injections, PRP injections, hyaluronic acid injections, genicular artery embolisation, genicular nerve block and genicular nerve ablation.
Given the multitude of treatment options available, our specialists can tailor a custom treatment regimen for you at the time of consultation.
-
We can treat cancer related pain either by ablation or embolisation of the offending tumour, or blocks/ablation of the nerves supplying the region.
Common procedures include coeliac plexus block for pancreatic cancer pain and pudendal nerve block for pelvic cancer pain.
-
Chronic and complex pain syndromes such as complex regional pain syndrome (CRPS) can be difficult to diagnose and treat.
If this is suspected stellate ganglion block and lumbar sympathetic block can be performed to improve symptoms.
Interventions We Offer
-

Steroid Injection
This is the most basic intervention and can be trialled nearly anywhere in the body pain is felt. A tiny needle is used to inject local anaesthetic and steroid to a target site. The local anaesthesia provides short term numbing of the pain, while the steroid takes longer to kick in and reduces inflammation leading to pain. Often a positive steroid injection indicates the correct site of pain generation and is used as a precursor to more advanced interventions.
-

PRP Injection
Platelet rich plasma (PRP) is obtained by drawing a patient's blood and spinning it down in a centrifuge. The platelet and plasma layer can be injected into a joint or tendon and has healing properties based on a small amount of stem cells in this layer. The best targets for PRP include the large joints of the body and tendons.
-

Hyaluronic Acid Injection
Hyaluronic acid derivatives are viscous solutions injected into the knee and other joints to provide cushioning and lubrication. HLA is also a key component of cartilage and these injections may promote cartilage healing.
-

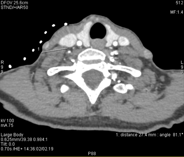
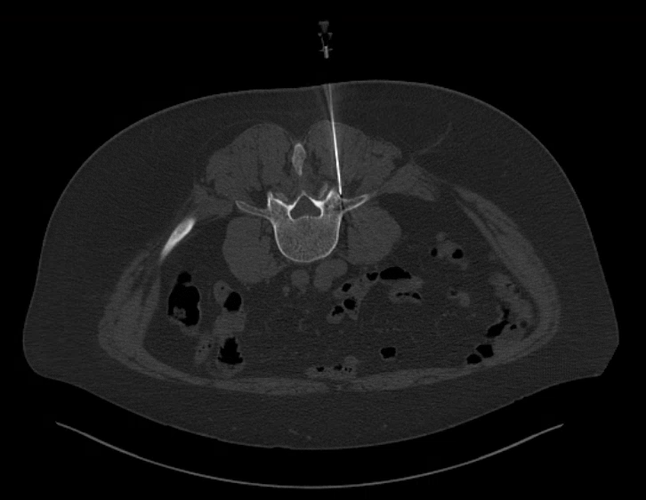
Advanced Nerve Blocks
Using high precision ultrasound and CT guidance, our experts are able to block deep nerves throughout the body. These are often performed as a test to determine which nerves are responsible for pain. Once a site is identified, it is targeted for further treatment using one of the more long lasting techniques. Targets include the coeliac plexus, stellate ganglion, lumbar sympathetic plexus, trigeminal nerve and others.
-

Pulsed RFA
Pulsed RFA (also known as neuromodulation) sends continuous electrical pulses to a nerve but keeps the temperature below 42 degrees. This causes inability of the nerve to signal, effectively turning it off. Pulsed RFA also has the benefit of motor sparing, meaning it is the preferred technique to treat mixed motor and sensory nerves. Typical locations include spinal nerve roots, femoral nerve, genicular and suprascapular nerves, and the trigeminal nerve.
-

Thermal RFA
Thermal RFA aims to burn a painful nerve away by increasing temperatures at the local tissue above 80 degrees celsius. This can result in long lasting relief lasting up to 24 months or longer. Typical targets include (but are not limited to) medial branch nerves for facet joint back pain, genicular nerves for knee pain, and suprascapular nerves for shoulder pain.
-

Cryoneurolysis
Extreme low temperature (-40 degrees Celsius) can be used to turn off nerves and is more potent than RFA. Our special cryoprobes can be placed adjacent to the target nerve, and a large ice ball grown to encompass the nerve, providing long lasting relief from nerve related pain. This is particularly useful in the cancer pain setting.
-

Embolisation
Embolisation refers to blocking of target blood vessels to prevent pain. The field if trans-arterial musculoskeletal embolisation (TAME) is one of the most exciting emerging fields in pain management. The best example is genicular artery embolisation which reduces knee pain and slows the progression of osteoarthritis. Other sites for embolisation include pain of the shoulders, elbows, wrists and ankle.