Targeted Cancer Solutions
Minimally Invasive, Maximum Impact
Interventions We Offer
-

Port-a-cath Insertion
Spectrum IR specialises in the insertion of portacaths (implantable venous access ports), providing cancer patients with a reliable and comfortable solution for chemotherapy administration. Unlike standard IV lines that require repeated needle sticks, our expertly placed portacaths offer consistent, pain-free access to the bloodstream through a small device implanted beneath the skin in the upper chest. The procedure is performed using ultrasound and fluoroscopic guidance to ensure optimal positioning, typically taking less than an hour with only local anaesthetic. Portacaths significantly improve quality of life during treatment by eliminating the need for repeated vein punctures, reducing vein irritation and scarring, allowing normal activities including swimming, and requiring minimal maintenance. Our patients particularly appreciate how the discreet, under-the-skin placement preserves body image while providing their oncology team with dependable access for chemotherapy, blood sampling, and other IV medications throughout their treatment journey.
-

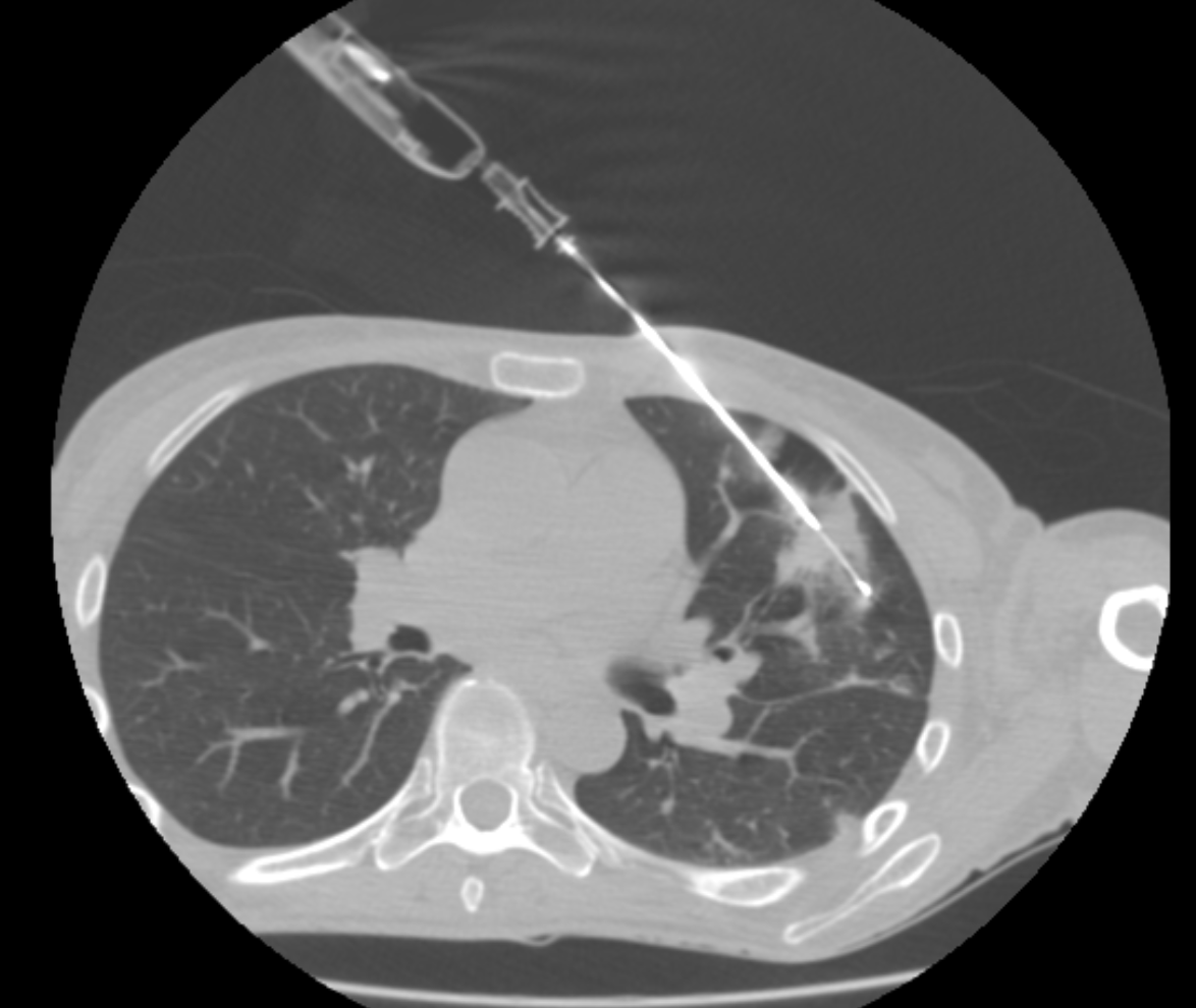
Biopsy
At Spectrum IR, we perform precise, image-guided biopsies across the full spectrum of body tissues—from superficial lymph nodes and thyroid to complex deep organs including bone, liver, kidney, and lung. Using advanced imaging technology, our interventional radiologists target specific tissue with millimeter accuracy, minimising discomfort and recovery time while maximising diagnostic yield. This minimally invasive approach provides your medical team with the critical information needed to determine your optimal treatment path, all while prioritizing your comfort and safety throughout the procedure.
-

Ascites and Pleural Drainage
Spectrum IR provides comprehensive solutions for symptomatic fluid collections through our advanced drainage procedures. We expertly perform both temporary and tunnelled drainage of ascites (abdominal fluid) and pleural effusions (chest fluid), offering immediate relief from symptoms like shortness of breath, pain, and abdominal distension. Using ultrasound and CT guidance, our interventional radiologists precisely place drainage catheters with minimal discomfort, allowing for outpatient management of recurrent fluid collections. For patients requiring long-term management, our tunnelled catheter options provide a discreet, comfortable solution that reduces hospital visits while maintaining quality of life throughout your treatment journey.
-

Transarterial Chemoembolisation (TACE)
Spectrum IR offers Transarterial Chemoembolisation (TACE) as a targeted therapy for intermediate-stage hepatocellular carcinoma (HCC). This minimally invasive procedure delivers high-concentration chemotherapy drugs directly to liver tumors while simultaneously blocking their blood supply, effectively attacking cancer cells from multiple angles. Our interventional radiologists use advanced imaging to navigate through blood vessels with precision, sparing healthy liver tissue while maximising treatment effect on tumors. TACE can provide valuable disease control and extended survival for patients with intermediate HCC. This outpatient procedure typically allows patients to return home the same day with significantly less recovery time than traditional surgical approaches.
-

Selective Internal Radiation Therapy (SIRT)
Spectrum IR provides Selective Internal Radiation Therapy (SIRT) using SIRTEX resin microspheres for patients with challenging liver cancers. This advanced treatment delivers millions of radioactive yttrium-90 coated beads directly to liver tumours through their blood supply, precisely targeting cancer cells while minimising exposure to healthy tissue. SIRT offers an effective option for patients with large or late-stage hepatocellular carcinoma (HCC) and those with oligometastatic liver disease from colorectal and other primary tumours. Our interventional radiologists perform comprehensive mapping and planning before each procedure to ensure optimal delivery and safety. SIRT can provide meaningful tumour control and improved quality of life when other treatments may have limited effectiveness, making it a valuable addition to our comprehensive interventional oncology arsenal.
-

Cryoablation
Spectrum IR delivers cutting-edge cryoablation therapy, a highly precise tumour destruction technique that uses extreme cold to freeze and kill cancer cells. This minimally invasive procedure is particularly effective for small renal cell carcinomas (T1a RCC less than 4cm), early-stage hepatocellular carcinoma, and carefully selected oligometastatic disease from various primary tumours. During treatment, our interventional radiologists use advanced imaging guidance to position specialised needles directly into the tumour, creating ice balls that rapidly freeze malignant tissue while sparing surrounding healthy structures. Cryoablation offers excellent response rates with significantly less impact on kidney function compared to surgery, minimal pain, rapid recovery, and typically same-day discharge. This approach provides an outstanding option for patients seeking effective cancer control with minimal disruption to their daily lives.