
Uterine Artery Embolisation
Uterine Artery Embolisation (UAE)
Fibroid Disease
Uterine fibroids are non-cancerous growths in the uterus that affect up to 80% of women by age 50. These growths can cause:
Heavy or prolonged menstrual bleeding
Pelvic pain and pressure
Frequent urination
Difficulty emptying the bladder
Constipation
Back or leg pain
Fertility problems
Fibroids can vary greatly in size - from as small as a pea to as large as a melon. Their location within the uterus affects symptoms:
Submucosal fibroids (inside the uterine cavity) commonly cause heavy bleeding
Intramural fibroids (within the uterine wall) can cause pressure symptoms
Subserosal fibroids (on the outside of the uterus) typically cause bulk-related symptoms
Adenomyosis
Adenomyosis occurs when the tissue that normally lines the uterus grows into the uterine wall muscle. This condition often coexists with fibroids and can cause:
Severe menstrual cramps
Heavy menstrual bleeding
Enlarged, tender uterus
Chronic pelvic pain
UFE has shown promising results for treating adenomyosis symptoms, with over 80% of patients experiencing improvement.
Anatomy
Understanding the blood supply to fibroids is key to UAE treatment. Fibroids receive their blood supply primarily through:
Uterine arteries - the main blood vessels feeding the uterus and fibroids
Ovarian arteries - backup blood supply that sometimes feeds large fibroids
During UAE, we target these blood vessels to cut off the fibroid's blood supply, causing them to shrink.
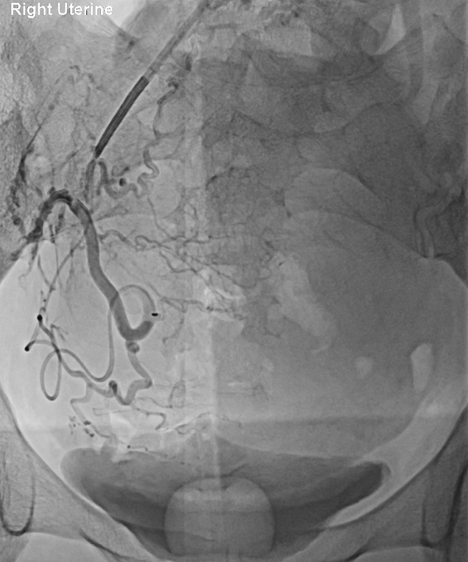
Uterine Artery Embolisation Procedure
UAE is a minimally invasive procedure performed by an interventional radiologist. It is also sometimes referred to as uterine fibroid embolisation (UFE):
Before the procedure:
You'll receive medications for pain relief and to prevent nausea
The procedure is usually done as a day case with overnight admission for observation
During the procedure:
A small catheter (thin tube) is inserted through a tiny incision in your groin or wrist
Using X-ray guidance, the catheter is guided to the uterine arteries
Tiny particles are injected to block blood flow to the fibroids
The procedure typically takes 1-2 hours
You'll receive pain medication and sedation for comfort
After the procedure:
You'll be monitored overnight
Pain medication is provided to manage post-procedure discomfort
Most patients go home the next day
Full recovery typically takes 1-2 weeks
Outcomes
UAE has excellent success rates:
88% of patients report significant improvement in bleeding symptoms
71% experience reduction in bulk-related symptoms
Average fibroid shrinkage of 20-60% in size
Quality of life improvements are similar to surgery at 5 years
Compared to hysterectomy, UFE offers:
Shorter hospital stay
Faster return to work
Lower blood loss
Uterine preservation
Similar long-term quality of life
Compared to myomectomy (fibroid removal surgery):
Shorter recovery time
Lower complication rates
Similar symptom improvement
Higher chance of needing future treatment (15-20% over 5 years)
Risks and Complications
UAE is generally safe, but like all medical procedures, it carries some risks:
Common side effects (most patients experience):
Post-embolisation syndrome: pain, nausea, fatigue, and low-grade fever for 24-48 hours
Vaginal discharge for several weeks
Irregular periods for a few months
Less common complications (1-5% of patients):
Infection requiring antibiotics
Passage of fibroid tissue via the vagina
Need for additional re-treatment
Ovarian dysfunction and early menopause (mainly in women over 45)
Rare complications:
Allergic reaction to contrast dye
Emergency hysterectomy (<1%)
Important considerations:
UAE may affect fertility - discuss with your doctor if you're planning pregnancy
Some fibroids may not respond completely to treatment
Symptoms may recur over time (15-20% of patients need additional treatment within 5 years)
Summary
UAE is an effective, minimally invasive treatment for symptomatic fibroids and adenomyosis. It offers:
Benefits:
Preserves the uterus
Minimal downtime compared to surgery
High success rates for symptom relief
Outpatient procedure
No surgical incisions
Best suited for women who:
Have symptomatic fibroids causing bleeding symptoms
Want to avoid major surgery
Wish to preserve their uterus
Are not currently planning pregnancy
Not suitable for women who:
Are pregnant
Have suspected uterine cancer
Have active pelvic infection
Severe contrast allergy (relative contraindication)
UAE should be discussed as a treatment option for every woman with symptomatic fibroids. Our experienced team at Spectrum Interventional Radiology work closely with referring gynaecologists to provide comprehensive care and help you make the best treatment decision for your individual situation.
For more information or to book a consultation, contact our team.